how long does bone cancer take to kill a dog
Get the eBook for 999. There are several other risk factors that may increase the chance of a dog developing bone cancer.
Cancer Vaccine Being Tested In Dogs Cnn
A dog will only have around two months to live although the time when the diagnosis was made will influence the timeline.
. It is a cartilage type tumor and its. When a dog is diagnosed with this type of cancer the illness usually has already spread to other areas of the body. She started vominting blood yesterday and we took her to the hospital.
This cancer predominately affects large dog breeds. Toxins and harmful chemicals found in some common products eg. Mason uses a vaccine to trigger the dogs immune system to attack and kill cancer cells.
Does that mean that my dog has bone cancer. Eventually the limbs become so weak the. With four out of ten dogs getting cancer spread we use chemotherapy to delay that metastasis plus the extra surgery andor post-operative radiation.
My labrador died today because someone gave her chicken bones. An estimated 10000 new diagnoses are made yearly mostly in large and giant breed dogs and it is seen only rarely in cats. Although there are multiple types of bone cancers that affect dogs such as chondrosarcoma found in the connective tissue and cartilage and fibrosarcoma found in the fibroblasts of the connective.
Osteosarcoma is the most common bone tumor is dogs accounting for 85 of all bone tumors. Breast cancer had the highest. A normally energetic dog may begin fatiguing after walking or playing.
Causes of Bone Cancer in Dogs. A large-scale 2017 study of the 10 most common cancers with bone metastasis found. Dogs who have an amputation followed by chemotherapy may live up to.
And that is with chemotherapy. Most cases of canine osteosarcoma about 90 have undergone micrometastasis by the time they are diagnosed making this type of cancer difficult to cure. In a period of three months the tumor can overtake the dogs limb and weaken it.
Their pet underwent six months of treatment attaining remission for a total of 14 months and was euthanized when the cancer resurfaced and clinical signs caused a decline in quality of life unacceptable to their standards. Veterinarians often use the phrase Away from the elbows toward the knees to remember the anatomically predisposed sites including. Prognosis for Osteosarcoma in a Dog The average life expectancy of dogs with appendicular osteosarcoma that dont receive treatment is 2 to 4 months.
My vet took x-rays of my dogs leg and saw a bone lesion. Lung cancer had the lowest 1-year survival rate after bone metastasis 10 percent. The vaccine is given intravenously once a week for 3 weeks following.
Its sad to say but dogs with bone cancer do not have a very long life expectancy especially if the cancer has metastasized. If you have a dog with lympho and your dog is doing well 6 months after diagnosis you are already beating the curve since median survival is as low as 6 months in some cases with the chemo. The American Veterinary Medical Association AVMA reports that one in four dogs will develop cancer at some time in their life and that 50 of pets over the age of 10 will develop cancer.
Osteosarcoma can occur in any bone in the dogs body but is more likely to occur in their limbs. Bones of the appendicular skeleton thoracic and pelvic limbs are most commonly affected. Answer 1 of 14.
They did blood. But there are a few risk factors that can trigger development of this cancer in dogs. Unfortunately bone cancer is a relatively common type of cancer found in dogs and roughly 10000 dogs are diagnosed with this cancer each year.
The risk of bone cancer is slightly higher in male dogs than females. However with treatment the vast majority of dogs can be significantly helped. Dog 2s owners elected to euthanize their dog the day after meeting with me.
Osteosarcoma accounts for approximately 85 of bone tumors in dogs. Whether your dog has STS OSA or any other cancer this book will help. A dog that has been amputated and has had chemotherapy can expect to live for 10 to 12 months.
Get the eBook for 999. But in most dogs bone cancer shows up slowly often over a few months. The second most prevalent type of bone cancer in dogs CSA is responsible for 5 10 of bone cancer cases in dogs.
These tumors start growing deep inside bones and grow outward making it hard for pets to walk and get around. The median age at diagnosis is 8 years with a small peak of incidence in young animals younger than 3 years. Pesticides household cleaners dog flea products etc are also possible culprits.
While there are treatments and methods for achieving remission or even. Amputation will increase the lifespan to about six months. Some dogs will grumble when touched in a certain.
Dog Bone Cancer Warning Signs. As in all cancers the exact cause of bone cancer is not known. Osteosarcoma is a serious cancer.
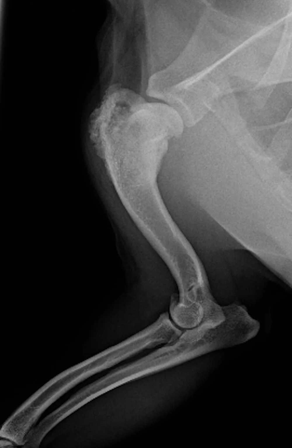
Cigarette smoke gas exhaust and water may contribute to cancer development. The metastasis rate for high-grade STS is much higher. Unfortunately most dogs with a bone lesion will have osteosarcoma 80.
Sometimes bone cancer makes a sudden appearance as a lump in the leg or in worst case scenario as a pathologic fracture. To name just a few. With pets living longer than ever cancer has become a diagnosis that we see more commonly in older dogs.
Osteosarcoma In Dogs Vca Animal Hospitals
The Canine Cancer Crisis Whole Dog Journal
Cancer Immunotherapy Veterinary Specialty Center
Osteosarcoma In Dogs Symptoms Treatment Vet Insights
Understanding Osteosarcoma In Dogs
Bone Cancer In Dogs Innovet Pet
The Pet Oncologist Vet Oncologist Online Blog Radiation Therapy For Dogs With Bone Cancer
My Dog Died From Bloat 5 Things You Need To Know About Bloat In Dogs That Might Save Your Dog S Life Dog Died Dog Remedies Dog Life
Learn About Osteosarcoma Bone Cancer In Dogs Petcure Oncology
Bone Cancer In Dogs Aspca Pet Health Insurance
How Long Can A Dog Live After Being Diagnosed With Cancer Winston Salem Vet Veterinary Oncology
Community Post Every Child Needs A Pet Dog Cat Pet Health Dog Care
What Is The Right Time To Euthanize A Dog With Osteosarcoma Dog Leash Pro
Bone Cancer In Dogs Aspca Pet Health Insurance
Signs Symptoms Of Bone Cancer In Dogs Matthews Vet Carolina Veterinary Specialists
A Comprehensive Guide To Osteosarcoma In Dogs Tploinfo
What Is The Prognosis Of Bone Cancer In Dogs
Signs Of Bone Cancer In Dogs How It S Treated Winston Salem Vet Veterinary Oncology
